- Исследования DMN: разгадка внутреннего мира нашего мозга
- Что такое сеть дефолтного режима (DMN) и почему она важна
- Как ученые изучают сеть дефолтного режима
- Обзор методов исследования
- Значение исследований DMN для психологии и медицины
- Практическое значение
- Как активность DMN связана с творчеством и мечтаниями
- Что способствует развитию внутреннего мира?
- Будущие направления исследований и открытия
- Ключевые направления будущих исследований
Исследования DMN: разгадка внутреннего мира нашего мозга
Когда мы обсуждаем работу человеческого мозга, очень часто звучит термин «сеть дефолтного режима» или просто DMN (Default Mode Network)․ Этот удивительный механизм играет важную роль в наших мыслях, мечтах и саморефлексии, позволяя нам задуматься о себе и окружающем мире даже в состоянии покоя․ Тогда возникает вопрос: что такое DMN, как он функционирует, и зачем его изучают учёные по всему миру? В этой статье мы подробно расскажем о результатах последних исследований этой сети, объясним ее значение для психологии и неврологии и постараемся погрузиться в тайны внутреннего мира нашего мозга․
Что такое сеть дефолтного режима (DMN) и почему она важна
Самое первое, с чего начинаем, — определение․ DMN — это сеть мозга, активная в состоянии покоя, когда мы не совершаем целенаправленных действий, а просто размышляем, фантазируем или вспоминаем․ Эта сеть включает в себя определённые участки мозга, такие как префронтальная кора, задняя поясная кора, гиппокамп и другие․ Именно благодаря работе DMN наши мысли могут свободно течь, а мы — погружаться в воспоминания и внутренние диалоги․
Интересно, что ранее считалось, когда мы заняты выполнением задач, активность DMN исчезает, уступая место сетям, ответственным за концентрацию и выполнение․ Но современные исследования показали, что даже в состоянии "отключённости" эта сеть остаётся важным элементом нашей внутренней жизни․
Почему исследование DMN важно? Понимание этой сети помогает понять механизмы саморефлексии, памяти и даже депрессии, а также раскрывает тайны нашей индивидуальности и сознания․
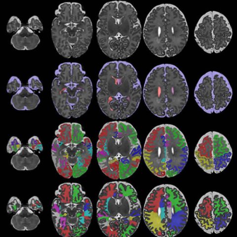
Как ученые изучают сеть дефолтного режима
Изучение DMN — это настоящее приключение в мире современных технологий и методов нейровизуализации․ Наиболее распространёнными являются функциональная магнитно-резонансная томография (фМРТ) и позитронно-эмиссионная томография (ПЭТ)․ Эти методы позволяют наблюдать активность различных участков мозга в реальном времени во время выполнения экспериментов․
Также учёные используют методики анализа сети и графовую теорию, что позволяет им понять, как связаны между собой различные области мозга и как эта связность изменяется в зависимости от состояния человека․
Обзор методов исследования
| Метод | Описание | Применение |
|---|---|---|
| ФМРТ | Отслеживание кровотока в мозге, показывающее активность | Определение активных областей и связей в сети DMN |
| ПЭТ | Использование радиоактивных веществ для изучения функций мозга | Изучение обмена веществ и связей сети |
| Графовые методы | Анализ связей между областями мозга | Понимание структуры сети и её динамики |
Все эти методы дают возможность в деталях рассматривать активность и структуру DMN, что способствует расширению наших знаний о внутренней работе мозга․
Значение исследований DMN для психологии и медицины
За последние годы накоплено огромное количество данных, которые позволяют глубже понять роль DMN в наших психологических состояниях․ Например, активность этой сети напрямую связана с состояниями спокойствия, сновидениями, а также с различными психическими расстройствами․
Изучение DMN помогает понять основы таких заболеваний, как депрессия, тревожность, шизофрения и даже аутизм․ Например, у людей с депрессией отмечаются аномально высокая активность в некоторых частях DMN, которая связана с навязчивыми мыслями и отрицательной самооценкой․
Практическое значение
- Разработка новых методов терапии и реабилитации, например, использование медитаций, йоги и когнитивных тренировок для нормализации активности сети․
- Диагностика психических заболеваний на ранних этапах благодаря выявлению аномальных паттернов в активности DMN․
- Создание персонализированных программ восстановления и развития психологического здоровья․
Какая основная роль DMN в нашей внутренней жизни? Эта сеть позволяет нам размышлять о себе, хранить воспоминания, планировать будущее и даже мечтать — без нее невозможно представить человека в его внутренней полноте․
Как активность DMN связана с творчеством и мечтаниями
Отдельного внимания заслуживает тот факт, что именно в состоянии покоя, во время мечтаний и творческого вдохновения активность сети дефолтного режима достигает апогея․ Именно в этот момент наш мозг ищет нестандартные решения, соединяет несвязанные идеи и формирует оригинальные мысли․
В исследованиях показано, что люди с развитым воображением и богатым внутренним миром имеют более активную и гибкую сеть DMN․ В процессе творческой работы активируются не только участки, связанные с ассоциативным мышлением, но и те, что отвечают за память и восприятие․
Что способствует развитию внутреннего мира?
- Медитация и mindfulness — обучение концентрации и спокойствию
- Ведение дневников и рефлексия — развитие способности к самонаблюдению
- Творческие практики — рисование, музыка, писательство
- Обогащение кругозора — чтение, путешествия
Будущие направления исследований и открытия
Наука продолжает расширять наши представления о нейронных сетях, особенно о сети дефолтного режима․ В перспективе ожидается появление новых технологий и методов, которые позволят раскрывать тайны мозга ещё глубже, например, с помощью искусственного интеллекта и многослойных нейронных сетей․
Также стоит отметить развитие технологий, позволяющих следить за динамикой активности DMN в реальном времени и создавать индивидуальные протоколы для коррекции его активности при различных патологиях․ Уже сегодня ученые обсуждают, как использовать полученные знания для создания более эффективных программ психологического и неврологического восстановления․
Ключевые направления будущих исследований
- Глубокое моделирование работы сети в условиях стресса и тревоги
- Взаимосвязь активности DMN и уровня креативности
- Исследование нейропластичности и возможностей изменения сети
- Создание систем раннего обнаружения психических расстройств
Изучение сети дефолтного режима приближается к раскрытию важнейших тайн о том, как функционирует наш внутренний мир, как формируется наше сознание и какие механизмы лежат в основе психических заболеваний․ Понимание работы этой сети позволяет не только лучше разобраться в себе и окружающих, но и создает основу для новых методов лечения и развития человека․
В мире, полном информации и решений, знание о внутренней активности мозга становится нашим ключом к гармонии и осознанности․ И исследования DMN — это одна из ярчайших страниц этой захватывающей научной книги․
Вопрос: Как именно исследования DMN могут помочь в улучшении психологического здоровья и борьбы с психическими расстройствами?
Ответ: Исследования DMN позволяют выявлять аномальное активирование этой сети, связанное с различными психическими расстройствами, такими как депрессия или тревожные состояния․ Благодаря современным технологиям и анализу если обнаружить повышенную или сниженная активность в определённых областях, можно разрабатывать индивидуальные программы терапии, включая когнитивно-поведенческую терапию, медитации или нейростимуляцию․ Это дает возможность не только диагностировать болезни на ранних стадиях, но и контролировать эффективность лечения, а также создавать профилактические меры для улучшения психологического благополучия․
Подробнее
| Что такое сеть дефолтного режима мозга | Изучение функций DMN | Роль DMN в психическом здоровье | Методы нейровизуализации DMN | DMN и творческое мышление |
| DMN и депрессия | Психология дефолтной сети | Влияние медитации на DMN | Нейропластичность DMN | Тренировка внутреннего мира |
| Исследование памяти и DMN | Ранняя диагностика психических заболеваний | Мозг и креативность | Влияние травм на DMN | Будущее исследований нейронаук |
| Роль тишины и отдыха в активности DMN | Техники снижения стресса и DMN | Влияние сновидений на внутренний мир | Влияние возрастных изменений | Функции сети при различных состояниях сознания |








